Hospital de Olhos Juiz de Fora
Dr. Antônio Gabriel Ribeiro Costa | CRM 12988-MG RQE 17756
A retina é um tecido nervoso localizado na parte interna-traseira do olho e é responsável por transformar o estímulo de luz em impulso nervoso, que será transmitido através do nervo óptico ao cérebro, onde teremos a formação da imagem.



O descolamento de retina ocorre quando a retina e o epitélio pigmentado da retina se desconectam, por conta de o líquido da parte interna do olho (vítreo) passar por uma rotura (ferida) ou buraco na retina. Este tipo de descolamento de retina é chamado de regmatogênico.
O descolamento de retina ocorre quando a retina e o epitélio pigmentado da retina se desconectam, por conta de o líquido da parte interna do olho (vítreo) passar por uma rotura (ferida) ou buraco na retina. Este tipo de descolamento de retina é chamado de regmatogênico.
Fatores de risco:
Sintomas:
Na presença destes sinais e sintomas, procure um especialista.
Prevenção:
A prevenção é feita a partir do exame de Mapeamento de Retina, que poderá detectar problemas na retina e serem tratados antes de ocorrer o descolamento. O tratamento preventivo é feito por foto coagulação à laser ou crioterapia, para promover adesão cicatricial entre a retina e o epitélio pigmentado da retina.
O tratamento deve ser feito com urgência e por meio de cirurgia. Existem três técnicas utilizadas de forma combinada e cada caso deve ser analisado de forma individual pelo especialista.
Retinopexia pneumática: consiste na injeção de um gás especial dentro da cavidade vítrea. É indicado em descolamentos mais iniciais e localizados na parte superior da retina.
Retinopexia por introflexão escleral: consiste na passagem de uma faixa de silicone no local da rotura, levando a esclera de encontro a retina. Possui uma indicação mais ampla que a anterior, mas ainda para descolamentos não complicados.
Vitrectomia posterior: consiste em realizar três pequenas incisões, o cirurgião removerá o vítreo, reaplicar da retina, realizar foto coagulação à laser. Na maioria dos casos, é necessário a utilização de substâncias para substituir o vítreo, como por exemplo, gases especiais ou óleo de silicone.


A Retinopatia Diabética (RPD) é uma das complicações do diabetes mellitus. É caracterizada por alterações vasculares da retina que podem resultar em perda visual caso não diagnosticada e tratada. O exame oftalmológico periódico é fundamental para o diagnóstico precoce, pois essa condição pode ser assintomática.
Existem dois tipos de RPD: retinopatia diabética não proliferativa (RPDNP) e proliferativa (RPDP). A não proliferativa é o primeiro estágio, onde há danos nos vasos sanguíneos, e a proliferativa é caracterizada pelo aparecimento de novos vasos sanguíneos, também conhecidos como neovasos, podendo levar a complicações graves, tais como hemorragias e descolamentos de retina.
Sintomas: como dito antes, é uma condição que pode ser assintomática, mas o principal sintoma é a perda gradual da visão. Essa baixa visual pode ser causada pelo edema macular, por alterações isquêmicas da retina, hemorragias retinianas e vítreas, ou descolamentos tracionais de retina.
Fatores de risco:
A mácula é uma estrutura anatômica avascular (sem vasos sanguíneos) e rica em um pigmento, a xantofila, e fotorreceptores importantes na formação da imagem, os cones. Localizada na parte posterior da retina, a mácula é uma “mancha” central, onde a luz reflete ao entrar no olho. As doenças que afetam a mácula podem ter grande repercussão na visão, levando a quadros de perda visual central.
A DMRI é o processo de envelhecimento da mácula, com dois tipos: o tipo “seco” (atrófica) e o tipo “úmido” (cistóide). A maioria dos casos – 85% a 90% – são do tipo seco. A DMRI seca é caracterizada pela formação de pequenos depósitos amarelados sob a mácula (drusas). Depois da catarata, a Degeneração Macular é a principal causa de cegueira em pessoas acima dos 50 anos.
É possível, que a DMRI seca se transforma em DMRI úmida, conforme novos vasos sanguíneos anormais são formados sob a mácula, porém, representa apenas 10%-15% dos casos. Na DMRI úmida, esses vasos anormais crescem sob a retina e a sua proliferação leva a formação da chamada membrana neovascular subretiniana.
Causa:
Os raios ultravioletas (UV) do sol são catalizadores da DMRI, pois ao interagir com o oxigênio, radicais livres-moléculas são gerados, que danificam as células da macula e formando toxinas (drusas), e algumas vezes o crescimento de finos vasos sanguíneos sob a mácula. Ao longo dos anos em que os olhos são expostos ao sol, essas toxinas vão se formando.

Sintomas:
Sintomas:
Tratamento:
Ressaltar a importância de diagnóstico precoce para iniciar tratamento, na busca para evitar danos permanentes na visão central. O método terapêutico conservador envolve uma dieta rica em vegetais de folhas verdes e pobre em gorduras, o uso de vitaminas, de antioxidantes, e recentemente, o uso da luteína. Recentemente, realiza-se o tratamento da DMRI forma úmida com injeções intraoculares de substâncias anti-angiogênicas.
O tratamento da DMRI forma úmida é realizado no Hospital de Olhos Juiz de Fora, em centro cirúrgico próprio, seguindo todos os critérios e protocolos nacionais e internacionais.
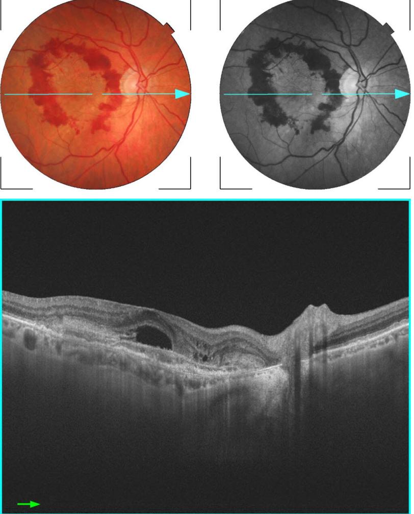
Essa é uma doença que apresenta um defeito na espessura total da retina na região central da mácula. Pode surgir após um trauma ocular ou de forma idiopática (não possível determinar uma causa específica). Embora seja um quadro que leve a perda considerável da visão, graças à avanços no tratamento cirúrgico do buraco macular, há possibilidade de melhora visual em um número significativo de pacientes.

Os sintomas dependem do estágio em que a doença se encontra. Mas em geral:
Na presença desses sintomas, o paciente deve procurar um especialista para uma avaliação de urgência.
O tratamento do buraco macular é basicamente cirúrgico e dependerá do estágio em que a doença se encontra.


Os edemas são inchaços por acúmulo de líquido diante da mácula, sendo um sintoma de diferentes doenças oculares. Os principais sintomas são embaçamento visual e manchas e distorção da imagem.
É importante um diagnóstico preciso da causa do edema macular para seguir para o tratamento mais adequado. Algumas condições que podem causar edemas maculares são:


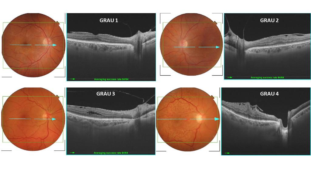
A membrana epirretiniana macular é uma fina camada de tecido cicatricial que se forma sobre a retina, um distúrbio mais comum após os 50 anos de idade, sem a necessidade de doença ocular prévia. Pode acometer ambos os sexos, e normalmente, não tem causa definida.
Os sinais são perda visual leve e visão distorcida, porém, também pode ser assintomática. O tratamento vai variar de acordo com o impacto na visão de cada paciente.
Atualmente, com avanços na técnica de cirurgia vítreo-retiniana, é possível realizar o tratamento cirúrgico com remoção da membrana epirretiniana com recuperação.



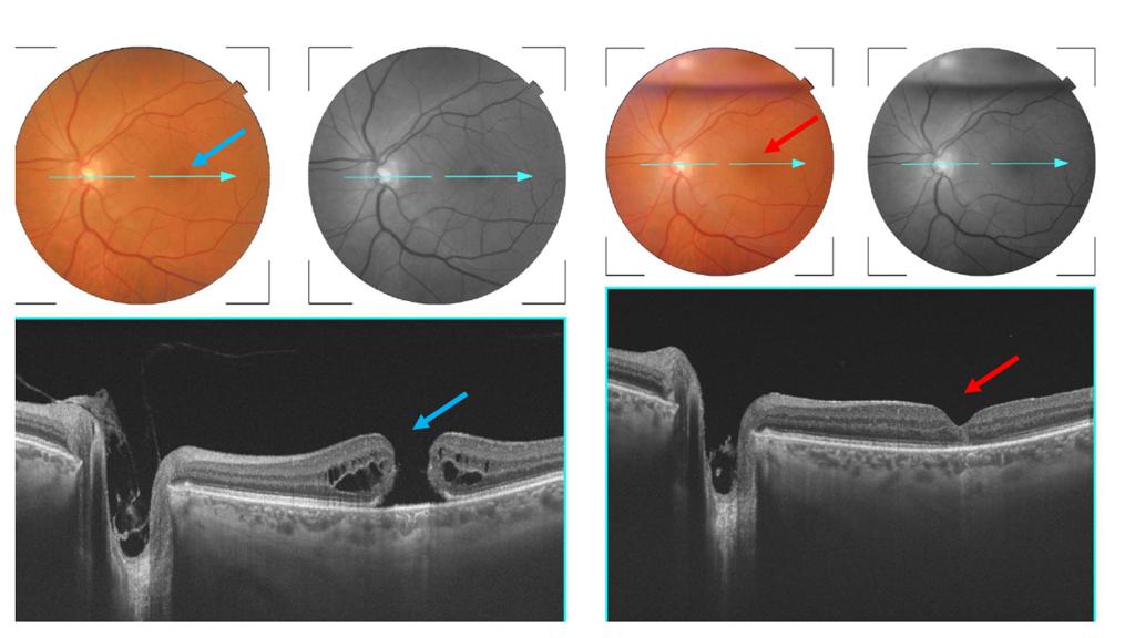
A síndrome de tração vítreo-macular idiopática (STMI) é uma doença incomum, de causa desconhecida, que acomete vítreo e a retina. Nestes casos, o descolamento incompleto do vítreo posterior promove alterações estruturais da retina, resultando em distorção da visão e baixa visual.
Na síndrome de tração vítreo-macular idiopática, opacidades anormais estão presentes no vítreo ao redor da região macular. A região macular pode tornar-se distorcida, cística ou em tenda, com pequeno descolamento de retina tradicional.
O diagnóstico é feito pela tomografia de coerência óptica, que possibilita a avaliação da interface vítreo-retiniana da síndrome de tração macular.
A vitrectomia poderá ser considerada se o paciente apresentar baixa da acuidade visual significativa. A separação entre o vítreo posterior e a retina, na área de adesão anormal, pode ocorrer espontaneamente. Após a intervenção cirúrgica nos casos de síndrome de tração vítreo-macular idiopática, a remoção da tração vítreo-macular leva a uma lenta reorganização tecidual.


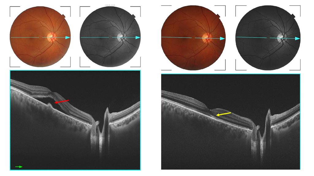
Coriorretinopatia central serosa caracteriza-se por acumulação de líquido na mácula, com ou sem descolamento do pigmentar da retina (EPR). Em geral, afeta adultos entre 20 e 45 anos com maior prevalência no sexo masculino, podendo ser bilateral.
Mesmo sendo idiopática (sem causa definida), estresse emocional, pressão excessiva no trabalho ou mostrar personalidade ansiosa são fatores para a origem dessa patologia.
Os pacientes podem relatar embaçamento visual, distorção das imagens, objetos são vistos diminuídos de tamanho (micropsia) ou presença de ponto cego no campo visual (escotoma).
O tratamento para coriorretinopatia central serosa dependerá da intensidade do caso, o quanto afeta as atividades diárias do paciente, se é o primeiro episódio ou um caso crônico, a presença ou ausência e a
localização de um ponto de vazamento na região macular, entre outros aspectos.
É importante enfatizar que na grande maioria dos casos a doença é autolimitada, ocorrendo melhora espontânea dentro de algumas semanas. Em casos selecionados, existem as opções de tratamento: tratamento clínico, tratamento com foto coagulação à laser, e em raros casos, a terapia fotodinâmica (PDT).